Tudo sobre Vírus – Doenças

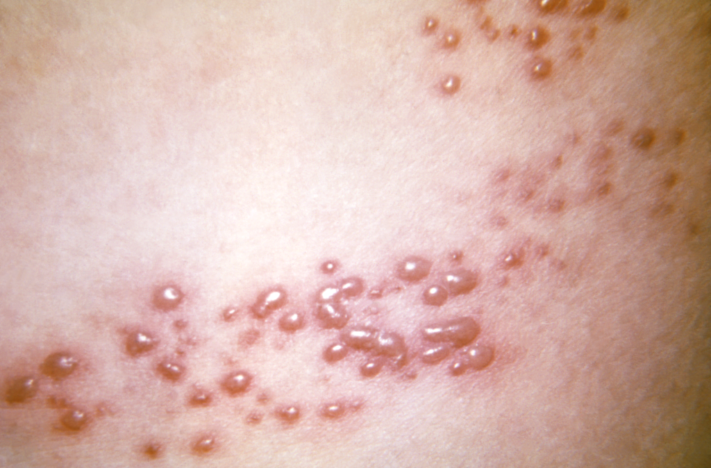
1 em cada 3 pessoas terá herpes-zóster ao longo da vida, saiba como evitar

1 em cada 3 pessoas terá herpes-zóster ao longo da vida, saiba como evitar

Por Ingrid Luisa Materia seguir SEGUIR Materia seguir SEGUINDO 6 out 2025, 15h11 | Atualizado em 10 nov 2025, 09h47
Do estigma à inovação: os diversos avanços no combate ao HIV

Do estigma à inovação: os diversos avanços no combate ao HIV

Por Lucas Rocha Materia seguir SEGUIR Materia seguir SEGUINDO 9 jul 2025, 17h30 | Atualizado em 10 jul 2025, 00h57
País é considerado livre da doença, mas é preciso manter a vigilância ativa para preservar a cadeia produtiva do gado
Alta de casos da doença mão-pé-boca: como se pega e como tratar

Alta de casos da doença mão-pé-boca: como se pega e como tratar

Por Maurício Brum 9 abr 2025, 14h54 | Atualizado em 9 abr 2025, 19h40
Internação por virose: entenda caso de Carlos Alberto de Nóbrega

Internação por virose: entenda caso de Carlos Alberto de Nóbrega

Por Maurício Brum 27 fev 2025, 13h46 | Atualizado em 27 fev 2025, 13h48
Longe de ser um episódio isolado, surto é lembrete de que precisamos melhorar o saneamento básico
Norovírus: feliz vírus velho

Norovírus: feliz vírus velho

Virosfera Por
Virosfera
Materia seguir SEGUIR Materia seguir SEGUINDO
Agente causador do surto de diarreia no Guarujá é velho conhecido da ciência. Confira detalhes de sua biografia
São Paulo confirma primeiro caso humano de febre amarela em 2025

São Paulo confirma primeiro caso humano de febre amarela em 2025

Por Maurício Brum 14 jan 2025, 14h38 | Atualizado em 14 jan 2025, 14h46
Norovírus está por trás de casos de virose no litoral paulista

Norovírus está por trás de casos de virose no litoral paulista

Por Lucas Rocha e Maurício Brum 8 jan 2025, 19h35 | Atualizado em 8 jan 2025, 19h49
Se os vírus contam com estratégias para nos invadir e se apoderar de nossas células, cientistas correram atrás de táticas de defesa na forma de medicamentos
Continua após publicidade

Matéria exclusiva para assinantes. Faça seu login

Este usuário não possui direito de acesso neste conteúdo. Para mudar de conta, faça seu login

Domine o fato. Confie na fonte.

15 marcas que você confia. Uma assinatura que vale por todas.

OFERTA LIBERE O CONTEÚDO

Digital Completo

Sua saúde merece prioridade!
Com a Veja Saúde Digital , você tem acesso imediato a pesquisas, dicas práticas, prevenção e novidades da medicina — direto no celular, tablet ou computador.
De: R$ 16,90/mês Apenas R$ 1,99/mês
ECONOMIZE ATÉ 52% OFF

Revista em Casa + Digital Completo

Receba Veja Saúde impressa e tenha acesso ilimitado ao site, edições digitais e acervo de todos os títulos Abril nos apps*
De: R$ 26,90/mês
A partir de R$ 12,99/mês

*Acesso ilimitado ao site e edições digitais de todos os títulos Abril, ao acervo completo de Veja e Quatro Rodas e todas as edições dos últimos 7 anos de Claudia, Superinteressante, VC S/A, Você RH e Veja Saúde, incluindo edições especiais e históricas no app.
*Pagamento único anual de R$23,88, equivalente a R$1,99/mês. Após esse período a renovação será de 118,80/ano (proporcional a R$ 9,90/mês).