Tudo sobre Gravidez

Gravidez após a morte: os dilemas e avanços da reprodução assistida post mortem

Gravidez após a morte: os dilemas e avanços da reprodução assistida post mortem

Por Maria Cecília Erthal, médica, via Brazil Health* 23 set 2025, 14h37 | Atualizado em 23 set 2025, 14h37
Implanon: planos de saúde serão obrigados a cobrir o contraceptivo

Implanon: planos de saúde serão obrigados a cobrir o contraceptivo

Por Maurício Brum 2 set 2025, 11h08 | Atualizado em 2 set 2025, 11h23
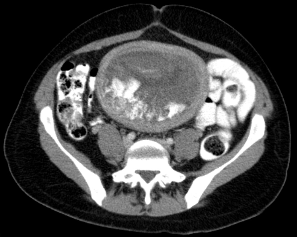
Litopedia: quando ocorre a calcificação do feto?

Litopedia: quando ocorre a calcificação do feto?

Por Maurício Brum 31 ago 2025, 04h00
Prescrições do editor: a relação entre mãe e bebê como nunca se viu e leu

Prescrições do editor: a relação entre mãe e bebê como nunca se viu e leu

Por Diogo Sponchiato Materia seguir SEGUIR Materia seguir SEGUINDO 26 jul 2025, 05h00 | Atualizado em 26 jul 2025, 09h05
Sangramento na gravidez: o que é normal e quando procurar ajuda médica

Sangramento na gravidez: o que é normal e quando procurar ajuda médica

Por Ana Horovitz, ginecologista, via Brazil Health* 24 jul 2025, 14h59
Métodos vão de pílulas a laqueadura e devem ser escolhidos com base nas preferências e necessidades de cada cidadã, com apoio médico
Jovem de 29 anos conta como intensificou sua conexão familiar ao ajudar a mãe a realizar o sonho de engravidar
Vitaminas e suplementos na gestação: quais são os nutrientes mais importantes?

Vitaminas e suplementos na gestação: quais são os nutrientes mais importantes?

Por Clarice Sena 24 jun 2025, 11h39 | Atualizado em 24 jun 2025, 16h30
Continua após publicidade

Matéria exclusiva para assinantes. Faça seu login

Este usuário não possui direito de acesso neste conteúdo. Para mudar de conta, faça seu login

Domine o fato. Confie na fonte.

15 marcas que você confia. Uma assinatura que vale por todas.

OFERTA LIBERE O CONTEÚDO

Digital Completo

Sua saúde merece prioridade!
Com a Veja Saúde Digital , você tem acesso imediato a pesquisas, dicas práticas, prevenção e novidades da medicina — direto no celular, tablet ou computador.
De: R$ 16,90/mês Apenas R$ 1,99/mês
ECONOMIZE ATÉ 52% OFF

Revista em Casa + Digital Completo

Receba Veja Saúde impressa e tenha acesso ilimitado ao site, edições digitais e acervo de todos os títulos Abril nos apps*
De: R$ 26,90/mês
A partir de R$ 12,99/mês

*Acesso ilimitado ao site e edições digitais de todos os títulos Abril, ao acervo completo de Veja e Quatro Rodas e todas as edições dos últimos 7 anos de Claudia, Superinteressante, VC S/A, Você RH e Veja Saúde, incluindo edições especiais e históricas no app.
*Pagamento único anual de R$23,88, equivalente a R$1,99/mês. Após esse período a renovação será de 118,80/ano (proporcional a R$ 9,90/mês).